Știri - Stil de viață
Luni, 6 Octombrie 2025
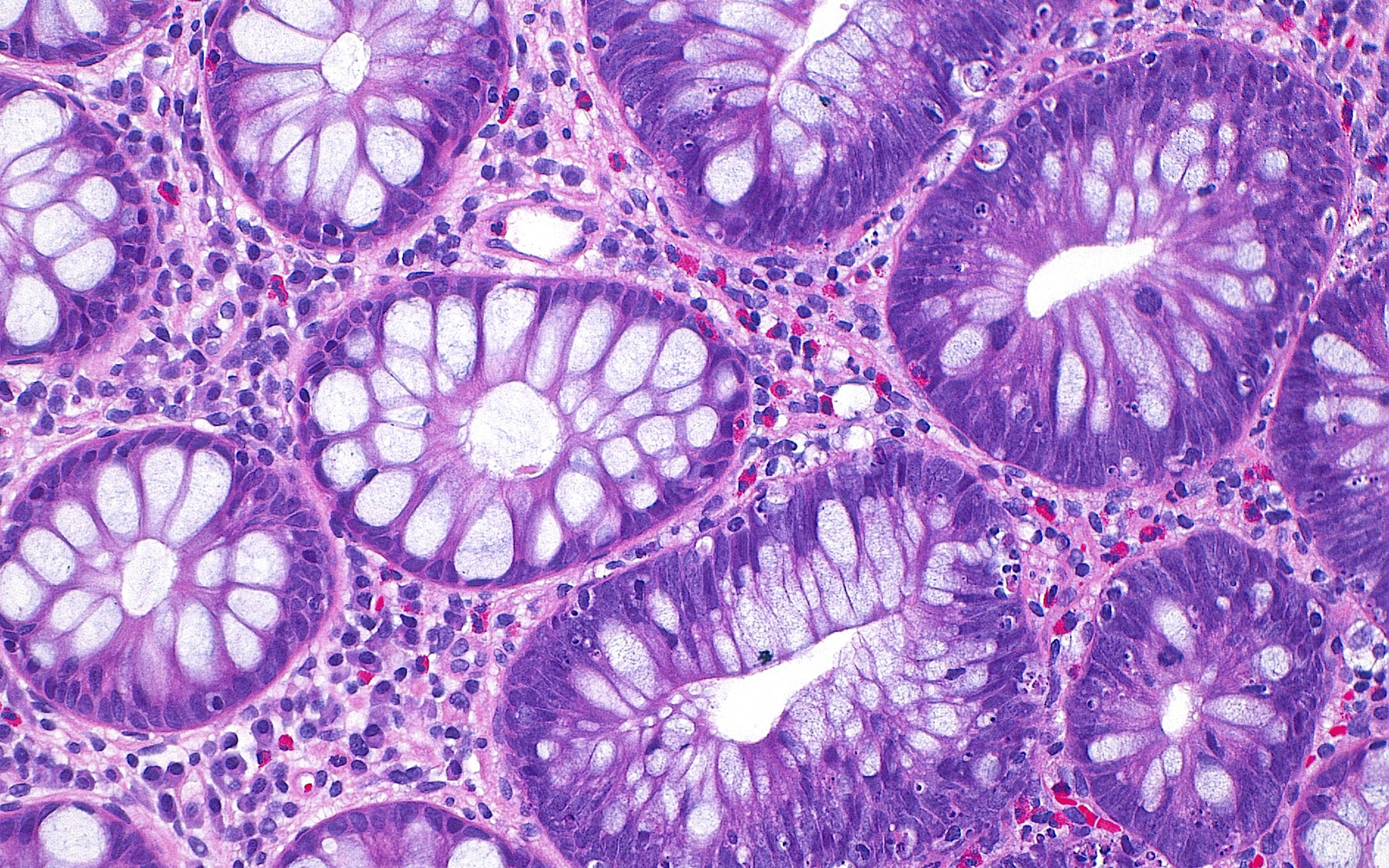
Cum a ajuns cancerul de colon să afecteze tot mai mulți tineri și care este cauza principală, indicată de studii

Dacă în trecut cancerul era văzut ca parte a îmbătrânirii, acum tot mai multe persoane tinere se luptă cu această boală nemiloasă. În cazul cancerului de colon sau colorectal, rata de îmbolnăvire a scăzut la persoanele de peste 60 de ani, însă a crescut în rândul celor sub 50 de ani în multe țări dezvoltate, potrivit datelor citate de The Guardian. [...]
Duminică, 5 Octombrie 2025
Un specialist în longevitate spune că oamenii sunt prea obsedați de viața veșnică, dar are două secrete împotriva îmbătrânirii

Dr. Steven Austad, directorul științific al Federației Americane pentru Cercetarea Îmbătrânirii, crede că prea mulți oameni sunt obsedați de longevitate, concentrându-se pe tendințe dubioase. El spune că are două obiceiuri care îl ajută să se mențină sănătos: exerciții fizice intense și mâncare într-un interval limitat de timp. [...]
Sâmbătă, 4 Octombrie 2025
Carnea nu trebuie să se afle în centrul alimentaţiei umane, avertizează specialiștii. Dieta care ar putea preveni milioane de decese

Carnea nu trebuie să se afle în centrul alimentaţiei umane: o vastă coaliţie de oameni de ştiinţă a afirmat acest lucru la finalul anilor 2010, stârnind furia reprezentanţilor industriei cărnii. Cercetătorii au repetat acea concluzie şi în prezent, dând asigurări că se bazează pe date încă şi mai solide, potrivit cărora o dietă bazată pe fructe, legume şi nuci, dar săracă în carne şi produse lactate, ar putea preveni aproximativ 15 milioane de decese la nivel mondial în fiecare an, informează AFP şi DPA. [...]
Vineri, 3 Octombrie 2025
Știința de a cheltui. Un experiment inedit arată că banii pot cumpăra fericirea, dacă sunt folosiți cum trebuie

Banii nu pot cumpăra fericirea. Sau cel puțin așa spune proverbul. Se pare, însă, că economiștii și psihologii sunt mai puțin siguri. În ultimele două decenii, Dr. Elizabeth Dunn de la Universitatea British Columbia a descifrat știința cheltuielilor. A realizat zeci de sondaje și a analizat munți de date, potrivit The Times. [...]
Miercuri, 1 Octombrie 2025
Alertă epidemiologică în Gorj: focar de boala limbii albastre la bovine. Virusul se extinde în Europa, anunță experții veterinari

România a raportat un focar de boala limbii albastre (n.r. febră catarală ovină) la bovine în sud-vestul ţării, a anunţat miercuri Organizaţia Mondială pentru Sănătatea Animalelor (OMSA), în contextul în care virusul care afectează rumegătoarele continuă să se răspândească în Europa, relatează Reuters. [...]
Marți, 30 Septembrie 2025
Microplasticele pe care le consumi zilnic fără să știi: le găsești în ouă, carne și chiar în ceai. Cum poți reduce expunerea la ele

Microplasticele curg din robinetele noastre și se desprind din vasele de gătit. Ajung în gălbenușurile de ou, dar și adânc în carne și legume. Totuși, dacă luăm anumite măsuri, putem consuma mai puține în dieta noastră, scrie BBC. [...]
Sâmbătă, 27 Septembrie 2025
Insomnia cronică accelerează declinul cognitiv și crește riscul de demență

Un nou studiu amplu realizat în SUA arată că insomnia cronică nu este doar o problemă de odihnă, ci poate declanșa modificări grave în creier, crescând riscul de demență. Cercetătorii au urmărit peste 2.700 de persoane cu vârste de peste 50 de ani și au descoperit că lipsa somnului favorizează acumularea plăcilor de amiloid și deteriorarea vaselor mici de sânge, două procese care accelerează declinul cognitiv, informează Science Alert. [...]
Sâmbătă, 27 Septembrie 2025
Secretul longevității unei supercentenare. Cercetătorii au aflat cum a ajuns o femeie la 117 ani, ferită de bolile bătrâneții

Cea mai profundă analiză de până acum făcută asupra unui supercentenar a dezvăluit că un om poate ajunge la o vârstă extremă fără ca creierul să se deterioreze sau fără ca bolile obișnuite bătrâneții să se acumuleze. [...]